Skip to content
Header Title Ask Radiographer dot COm
Menu
  • Home
  • About Us
    • Background
    • Radiology Equipment
    • Webmaster & Author
  • Academics
    • Radiographic Protocols
    • Radiography Forum
    • Academic Staff Research
  • Profile
    • Lost Password
  • More
    • Microsoft Office 365
    • OT Calling Form
  • Login
  • Membership

AskRadiographer Knowledgebase

Popular Search ctamrictvcta brainct neck

CT Scan - Body Region

  • CT THORAX, ABDOMEN AND PELVIS (TAP) WITH CONTRAST
  • CT PANCREAS
  • HRCT THORAX
  • CT THORAX WITH CONTRAST
  • CT LIVER WITH CONTRAST – 3 PHASES PROTOCOL
  • CT RENAL WITH CONTRAST – 4 PHASES PROCOTOL
  • CT PELVIS NON CONTRAST
  • CT COLONOSCOPY

MRI - Spine Region

  • MRI SPINE METAL REDUCTION
  • MRI CERVICAL

MRI - Lower Limb Region

  • MRI RIGHT KNEE

MRI - Head Region

  • MRA & MRV OF BRAIN
  • MRI BRAIN – IGS PROTOCOL
  • MRI IAM
  • MRI SPECTROSCOPY

ANGIOGRAPHY - OTHERS

  • ACQUIRING IMAGES IN 3D DSA
  • ANGIOGRAPHY – IMAGE FUSION

MRI - Body Region

  • MRI SPINE METAL REDUCTION
  • MRI ENTEROGRAPHY (SMALL BOWEL STUDY)

CT Scan - Others

  • CT GUIDED INTERVENTION

Angiography - Body Region

  • SIALOGRAM

CT Scan - Head Region

  • CT FACIAL WITH CONTRAST
  • CT CERVICAL SPINE
  • CTA CAROTID ARTERY
  • CT BRAIN NON CONTRAST
  • CT BRAIN – VENOGRAPHY
  • CT BRAIN CONTRAST (IGS PROTOCOL)
  • HRCT TEMPORAL BONE NON CONTRAST
  • CTA BRAIN

CT Scan - Upper Limb Region

  • CT SHOULDER – NON CONTRAST
  • CT WRIST – NON CONTRAST
  • CT ELBOW JOINT – NON CONTRAST

Mammogram

  • Mammogram Stereotactic
  • Home
  • KB
  • Computed Tomography
  • CT Scan - Body Region
  • CT LIVER WITH CONTRAST – 3 PHASES PROTOCOL
Last Updated on January 12, 2023 by Mohamad Izwan

Anatomy of Liver

Image taken from Encyclopaedia Britannica, Inc.

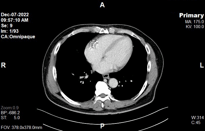
Appearance of CT Liver - Late Arterial Phase (LAP) Images

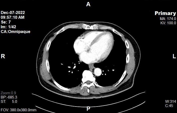
Appearance of CT Liver - Portal Venous Phase (PVP) Images

Examination Overview

Protocol Structure

00_Liver3Phase (Adult)

    • Topogram
    • Non Contrast (Above diaphragm to the ischial rami)

Bolus Tracking

    • Pre Monitoring
      • (At the level of diaphragm)

Contrast

    • Monitoring
      • (At the level of diaphragm)
      • Contrast triggering at the abdominal aorta
      • Triggered when achieve 100HU
    • Liver LAP
      • (above diaphragm to the end of liver)
    • Venous Phase
      • (above diaphragm to the ischial rami)
    • Delayed 5 Minutes (optional)
      • Liver (above diaphragm to the end of liver)
      • Full abdomen (above diaphragm to the ischial rami)

Topogram

  • Position the patient in head first supine position.
  • Align the patient in Mid-Sagittal plane of the table.
  • Position the transverse laser light beam at the level of mid of sternum to start the topogram.

Topogram Parameters

  • Topogram length: 512 mm
  • Slice: 0.6 mm
  • Scanning direction: Craniocoudal
  • Tube position: Top
  • Stop the topogram scanning when the scanning reach / pass over the inferior ischial ramus.

Non Contrast

  • Plan the Scan FOV (SFOV) box at topogram image.
  • Set the top line at the level of upper diaphragm.
  • Set the bottom line at the level of inferior ischial ramus.
  • Ensure the lateral line to cover patient’s body outline.
  • Remind the patient before scanning as the breathing instruction will be given.

Scanning Parameters

  • kV: 100 kV
  • mAs: Tube Current Modulation (TCM)
  • Scanning Direction: Craniocaudal
  • Scan Delay: 4 s
  • Slice: 5.0mm
  • Image Comment: Pre-Contrast
  • Pitch: 0.6
  • Quality Reference mAs : 230

Reconstruction of Liver Non Contrast

Contrast

Type of contrast used:

    • Non-ionic iodinated contrast media
    • 300 I mg/mol

Needle Placement Test:

    • Flow Rate: 3.5Ā ml/sec
    • Volume of Normal Saline: 15 ml

Contrast Injection:

    • Volume of Contrast Media:
      • 100 ml (normal body type)
    • Volume of Normal Saline: 50 ml

Injector setup for Normal Body Size

Bolus Tracking

Pre Monitoring

  • Set the scanning line at the level of diaphragm.

Monitoring

  • Ensure the scanning line from Pre-Monitoring is at the level of diaphragm.
  • Ensure the lateral line to cover patient’s body outline.
  • Draw ‘Triggering ROI’ on Abdominal Aorta (left-hand click on Siemens CT console).
  • Set:
    • Delay: 10 seconds
    • HU to triggered : 100HU

Post Contrast Scan Planning

Liver LAP

  • Plan the Scan FOV (SFOV) box at topogram image.
  • Set the top line at the level upper diaphragm.
  • Set the bottom line at the level of end of liver.
  • Ensure the lateral line to cover patient’s body outline.
  • Remind the patient before scanning as the breathing instruction will be given.
  • Delay: 10 seconds (after Bolus Tracking).

Venous Phase

  • Plan the Scan FOV (SFOV) box at topogram image.
  • Set the top line at the level upper diaphragm.
  • Set the bottom line at the level inferior ischial ramus.
  • Ensure the lateral line to cover patient’s body outline.
  • Remind the patient before scanning as the breathing instruction will be given.
  • Delay: 25 seconds (after Liver LAP).

Reconstruction of Liver LAP

Reconstruction of Venous Phase

Delayed 5 Minutes (Optional)

  • Liver
    • Plan the Scan FOV (SFOV) box at topogram image
    • Set the top line at the level of above diaphragm.
    • Set the bottom line at the level of end of liver.
    • Remind the patient before scanning as the breathing instruction will be given.
  • Full abdomen
    • Plan the Scan FOV (SFOV) box at topogram image
    • Set the top line at the level of above diaphragm.
    • Set the bottom line at the level of inferior ischial ramus.
    • Remind the patient before scanning as the breathing instruction will be given.
  • Ensure the lateral line to cover patient’s body outline.

Reconstruction of Delayed

Multiplanar Reconstruction (MPR)

Coronal LAP IV

  • Image Thickness: 3.0 mm
  • Number of Image: 19
  • Coverage: Anterior to Posterior of abdomen

Coronal PVP IV

  • Image Thickness: 3.0 mm
  • Number of Image: 19
  • Coverage: Anterior to Posterior of abdomen

Series of Images Send to PACS

  1. Topogram
  2. Non Contrast 5.0 B30f
  3. Non Contrast 1.0 B20f
  4. LAP 1.0 B20f
  5. LAP 5.0 B30f
  6. Venous Phase 5.0 B30f
  7. Venous Phase 1.0 B20f
  8. Delayed 15 Min 5.0 B30f
  9. Delayed 15 Min 1.0 B20f
  10. Patient Protocol
  11. COR LAP IV
  12. COR PVP IV
Do you think this article helpful?
Share This Article :
  • Facebook
  • Twitter
  • LinkedIn
  • Pinterest
Still stuck? How can we help?

How can we help?

Updated on January 12, 2023
CT THORAX WITH CONTRASTCT RENAL WITH CONTRAST – 4 PHASES PROCOTOL

Quick Links

Patient Preparation

Postgraduate Research

AskRadiographer Knowledgebase

Download

About

Background

Radiology Equipment

Webmaster & Author

Sponsors

Testimonials

External Links

Radiology cases

KRIM Facebook

AskRadiographer Facebook

KOM Radiology Website

Our Location

Contact

Legal Disclaimer

Sitemap

AskRadiographer.com© Copyright 2020 - 2025. All rights reserved.
Facebook Twitter Youtube

Insert/edit link

Enter the destination URL

Or link to existing content

    No search term specified. Showing recent items. Search or use up and down arrow keys to select an item.