Anatomy of Pelvis Girdle
Image taken from Microbe Notes
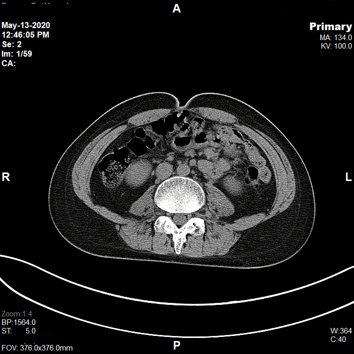
Appearance of Pelvis in Axial CT Image
CT Pelvis (Axial Images)
Examination Overview
Protocol Structure
00_PelvisRoutine (Adult)
- Topogram
- Pelvis
Patient Orientation Registry in System
- Set the orientation patient in system : Feet First – Supine
- This is to allow adequate table feeder in the gantry.
Topogram
- Position the patient in feet first supine position.
- Raise the patient’s arm above head to clear pelvis area.
- Align the patient’s body in Mid-Sagittal plane of the table (if possible).
- Internally rotate the patient’s legs (if possible).
- Position the transverse laser light beam at the level of 1 inch above iliac crest to start topogram.
Topogram Parameters
- Topogram length: 512Ā cm
- Slice: 0.6 mm
- Scanning direction: Craniocaudal
- Tube position: Top
- Stop the topogram scanning when the scanning reach / pass over the inferior pubis ramus / lesser trochanter.
Non Contrast
- Plan the Scan FOV (SFOV) box at topogram image
- Set the top line at the level of 1 inch above iliac crest.
- Set the bottom line at the level of 1 inch below inferior pubic ramus / lesser trochanter.
- Ensure the lateral line to cover bilateral pelvis soft tissue.
- Remind the patient to keep in place and not moving the pelvis and legs.
Scanning Parameters
- kVp: 120
- mAs: Tube Current Modulation (TCM)
- Scanning Direction: Craniocaudal
- Scan Delay: 2 s
- Slice: 3.0mm (Acq. 128 x 0.6 mm)
- Image Comment: Non Contrast
- Pitch: 0.8
Reconstruction of Non Contrast
Series of Images Send to SyngoVia
- Pelvis 1.0 B31f
Series of Images Send From SyngoVia to PACS
- Radial ranges of pelvis
Series of Images Send to PACS
- Topogram 0.6 T80f
- Pelvis 5.0 B31f
- Pelvis 5.0 B70f
- Pelvis 1.5 B60f
- Patient Protocol
- VRT Range Tilt Pelvis
- VRT Pelvis