Last Updated on January 12, 2023 by Mohamad Izwan
Anatomy of Renal
Image taken from www.le.ac.uk
Appearance of CT Renal Images
Examination Overview
Protocol Structure
00_Renal_4Phases (Adult)
- Topogram
- Non Contrast (Above diaphragm to the ischial rami)
Bolus Tracking
- Pre Monitoring
- (At the level of diaphragm)
- Pre Monitoring
Contrast
Monitoring
- (At the level of diaphragm)
- Contrast triggering at the abdominal aorta
- Triggered when achieve 100HU
- Cortico
- Cover entire renal
- Nephro
- (above diaphragm to the ischial rami)
- Excretory 5 MinutesĀ
- Full abdomen (above diaphragm to the ischial rami)
Topogram
- Position the patient in head first supine position.
- Align the patient in Mid-Sagittal plane of the table.
- Position the transverse laser light beam at the level of patient’s nipple line to start the topogram.
Topogram Parameters
- Topogram length: 512 mm
- Slice: 0.6 mm
- Scanning direction: Craniocoudal
- Tube position: Top
- Stop the topogram scanning when the scanning reach / pass over the inferior ischial ramus.
Non Contrast
- Plan the Scan FOV (SFOV) box at topogram image.
- Set the top line at the level of above diaphragm.
- Set the bottom line at the level of inferior ischial ramus.
- Ensure the lateral line to cover patient’s body outline.
- Remind the patient before scanning as the breathing instruction will be given.
Scanning Parameters
- kV: 100 kV
- mAs: Tube Current Modulation (TCM)
- Scanning Direction: Craniocaudal
- Scan Delay: 4 s
- Slice: 5.0mm
- Image Comment: Non Contrast
- Pitch: 0.6
- Quality Reference mAs : 230
Reconstruction of Non Contrast
Contrast
Type of contrast used:
- Non-ionic iodinated contrast media
- 300 I mg/mol
Ā
Needle Placement Test:
- Flow Rate: 3.5Ā ml/sec
- Volume of Normal Saline: 15Ā ml
Ā
Contrast Injection:
- Volume of Contrast Media:
- 100 ml (normal body type)
- Volume of Normal Saline: 50 ml
- Volume of Contrast Media:
Injector setup for Normal Body Size
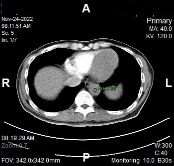
Bolus Tracking
Pre Monitoring
- Set the scanning line at the level of diaphragm.
Monitoring
- Ensure the scanning line from Pre-Monitoring is at the level of diaphragm.
- Ensure the lateral line to cover patient’s body outline.
- Draw ‘Triggering ROI’ on Abdominal Aorta (left-hand click on Siemens CT console).
- Set:
- Delay: 15 seconds
- Targetted HU to be triggered : 100HU
Post Contrast Scan Planning
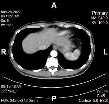
Cortico-Medulary Phase
- Plan the Scan FOV (SFOV) box at topogram image.
- Set the top and bottom line to cover entire renal..
- Ensure the lateral line to cover patient’s body outline.
- Remind the patient before scanning as the breathing instruction will be given.
- Delay after triggering: 10 seconds (to enhancement of kidney outer cortex).
Reconstruction of Cortico-Medulary Phase
Nephrographic Phase
- Plan the Scan FOV (SFOV) box at topogram image.
- Set the top line at the upper abdomen.
- Set the bottom line at inferior ischial rami.
- Ensure the lateral line to cover patient’s body outline.
- Remind the patient before scanning as the breathing instruction will be given.
- Delay after cortico phase: 35 seconds (enhancement of renal parenchyma including medulla).
Reconstruction of Nephrographic Phase
Excretory 5 Minutes
- Full abdomen
- Plan the Scan FOV (SFOV) box at topogram image
- Set the top line at the level of above diaphragm.
- Set the bottom line at the level of inferior ischial rami.
- Remind the patient before scanning as the breathing instruction will be given.
- Ensure the lateral line to cover patient’s body outline.
Reconstruction of Excretory 5 minutes
Multiplanar Reconstruction (MPR)
Series of Images Send to PACS
- Topogram
- Non Contrast 5.0 B30f
- Non Contrast 1.0 B20f
- Cortico 5.0 B30f
- Cortico 1.0 B20f
- Nephro 5.0 B30f
- Nephro 1.0 B20f
- Excretory 5min 5.0 B30f
- Excretory 5min 1.0 B20f
- Patient Protocol