Skip to content
Header Title Ask Radiographer dot COm
Menu
  • Home
  • About Us
    • Background
    • Radiology Equipment
    • Webmaster & Author
  • Academics
    • Radiographic Protocols
    • Radiography Forum
    • Academic Staff Research
  • Profile
    • Lost Password
  • More
    • Microsoft Office 365
    • OT Calling Form
  • Login
  • Membership

AskRadiographer Knowledgebase

Popular Search ctamrictvcta brainct neck

CT Scan - Body Region

  • CT THORAX, ABDOMEN AND PELVIS (TAP) WITH CONTRAST
  • CT PANCREAS
  • HRCT THORAX
  • CT THORAX WITH CONTRAST
  • CT LIVER WITH CONTRAST – 3 PHASES PROTOCOL
  • CT RENAL WITH CONTRAST – 4 PHASES PROCOTOL
  • CT PELVIS NON CONTRAST
  • CT COLONOSCOPY

MRI - Spine Region

  • MRI SPINE METAL REDUCTION
  • MRI CERVICAL

MRI - Lower Limb Region

  • MRI RIGHT KNEE

MRI - Head Region

  • MRA & MRV OF BRAIN
  • MRI BRAIN – IGS PROTOCOL
  • MRI IAM
  • MRI SPECTROSCOPY

ANGIOGRAPHY - OTHERS

  • ACQUIRING IMAGES IN 3D DSA
  • ANGIOGRAPHY – IMAGE FUSION

MRI - Body Region

  • MRI SPINE METAL REDUCTION
  • MRI ENTEROGRAPHY (SMALL BOWEL STUDY)

CT Scan - Others

  • CT GUIDED INTERVENTION

Angiography - Body Region

  • SIALOGRAM

CT Scan - Head Region

  • CT FACIAL WITH CONTRAST
  • CT CERVICAL SPINE
  • CTA CAROTID ARTERY
  • CT BRAIN NON CONTRAST
  • CT BRAIN – VENOGRAPHY
  • CT BRAIN CONTRAST (IGS PROTOCOL)
  • HRCT TEMPORAL BONE NON CONTRAST
  • CTA BRAIN

CT Scan - Upper Limb Region

  • CT SHOULDER – NON CONTRAST
  • CT WRIST – NON CONTRAST
  • CT ELBOW JOINT – NON CONTRAST

Mammogram

  • Mammogram Stereotactic
  • Home
  • KB
  • Computed Tomography
  • CT Scan - Body Region
  • CT THORAX WITH CONTRAST
Last Updated on January 20, 2023 by Mohamad Izwan

Anatomy of Thorax

Image taken from Britannica

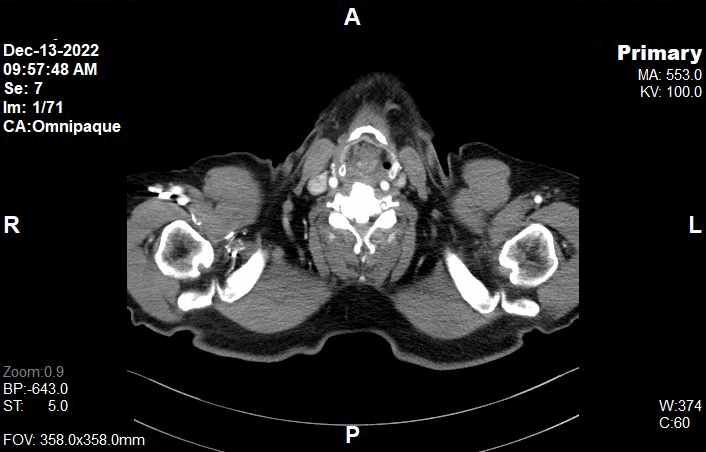
Appearance of CT Thorax Images

Examination Overview

Protocol Structure

00_ThoraxRoutine (Adult)

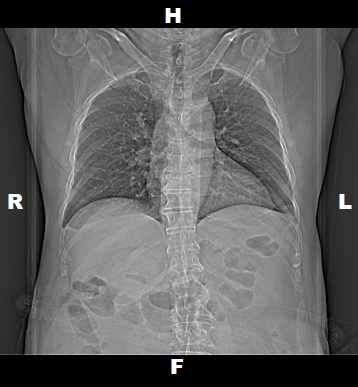
    • Topogram
    • Non Contrast (upper shoulder to iliac crest)

Contrast

    • Portal Venous Phase
      • (upper shoulder to the iliac crest)

Topogram

  • Position the patient in head first supine position.
  • Align the patient in Mid-Sagittal plane of the table.
  • Position the transverse laser light beam at the level of patient’s upper shoulder to start the topogram.

Topogram Parameters

  • Topogram length: 512 mm
  • Slice: 0.6 mm
  • Scanning direction: Craniocoudal
  • Tube position: Top
  • Stop the topogram scanning when the scanning reach / pass over the iliac crest.

Non Contrast

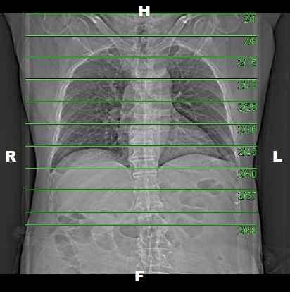
  • Plan the Scan FOV (SFOV) box at topogram image
  • Set the top line at the level of upper shoulder
  • Set the bottom line at the level of iliac crest.
  • Ensure the lateral line to cover patient’s body outline.
  • Remind the patient before scanning as the breathing instruction will be given.

Scanning Parameters

  • kV: 100 kV
  • mAs: Tube Current Modulation (TCM)
  • Scanning Direction: Craniocaudal
  • Scan Delay: 4 s
  • Slice: 5.0mm
  • Image Comment: Pre-Contrast
  • Pitch: 1.2
  • Quality Reference mAs : 230

Reconstruction of Thorax Non Contrast

Contrast

Type of contrast used:

    • Non-ionic iodinated contrast media
    • 300 I mg/mol

Needle Placement Test:

    • Flow Rate: 4.5Ā ml/sec
    • Volume of Normal Saline: 20Ā ml

Contrast Injection:

    • Volume of Contrast Media:
      • 70 ml (normal body type)
      • 90 ml (large body type)
    • Volume of Normal Saline: 50 ml
    • Method of injection: Contrast Injector Single Phase

Injector setup for Normal Body Size

Injector setup for Large Body Size

Post Contrast Scan Planning

Thorax IV

  • Plan the Scan FOV (SFOV) box at topogram image.
  • Set the top line at the level upper shoulder.
  • Set the bottom line at the level of iliac crest.
  • Ensure the lateral line to cover patient’s body outline.
  • Remind the patient before scanning as the breathing instruction will be given.
  • Delay: 35 seconds.

Reconstruction of TAP IV

Series of Images Send to PACS

  1. Topogram 0.6 T20f
  2. Thorax NC 5.0 B31f
  3. Thorax NC 5.0 B80f
  4. Thorax NC 1.0 B70f
  5. Thorax IV 5.0 B31f
  6. Thorax IV 5.0 B80f
  7. Thorax IV 1.0 B31f
  8. Thorax IV 1.0 B70f
  9. Patient Protocol
Do you think this article helpful?
Share This Article :
  • Facebook
  • Twitter
  • LinkedIn
  • Pinterest
Still stuck? How can we help?

How can we help?

Updated on January 20, 2023
HRCT THORAXCT LIVER WITH CONTRAST – 3 PHASES PROTOCOL

Quick Links

Patient Preparation

Postgraduate Research

AskRadiographer Knowledgebase

Download

About

Background

Radiology Equipment

Webmaster & Author

Sponsors

Testimonials

External Links

Radiology cases

KRIM Facebook

AskRadiographer Facebook

KOM Radiology Website

Our Location

Contact

Legal Disclaimer

Sitemap

AskRadiographer.com© Copyright 2020 - 2025. All rights reserved.
Facebook Twitter Youtube

Insert/edit link

Enter the destination URL

Or link to existing content

    No search term specified. Showing recent items. Search or use up and down arrow keys to select an item.