Anatomy of Carotid Artery
Image taken from Radiopaedia.org
Appearance of Carotid Artery in CT VRT Image
Protocol Structure
00_CarotidAngioRoutine (Adult)
- Topogram (AP)
- Premonitoring
- Monitoring
- Contrast (Carotid Angio)
Patient Orientation Registry in System
- Set the orientation patient in system : Head First – Supine
Topogram
- Position the patient in head first supine position.
- Placed the patient’s head inside the head holder and properly strap the head and chin.
- Align the patient in Mid-Sagittal plane of the table.
- Position the transverse laser light beam above glabella to start the topogram.
Topogram Parameters
Topogram (AP)
- Topogram length: 512Ā cm
- Slice: 0.6 mm
- Scanning direction: Craniocoudal
- Tube position: Top
- Stop the topogram scanning when the scanning reach / pass over the arch of aorta
Topogram (Lateral)
- Topogram length: 256Ā cm
- Slice: 0.6 mm
- Scanning direction: Craniocoudal
- Tube position: Lateral
- Stop the topogram scanning when the scanning reach / pass over the base of skull
Pre-Monitoring / Contrast Trigger
- Activate the topogram image.
- Place the scan planning line at the level of aortic arch.
Scanning Parameters
- kVp: 120
- mAs: 20
- Scanning Direction: Caudocranial
- Scan Delay: 2 s
- Slice: 10.0 mm
- Image Comment: –
- Pitch: –
Ā
Contrast
Type of contrast used:
- Non-ionic iodinated contrast media
- Preferrable: 370 I mg/molĀ
Ā
Needle Placement Test:
- Flow Rate: 5.5 ml/sec
- Volume of Normal Saline: 40Ā ml
Ā
Contrast Injection:
- Volume of Contrast Media: 50 mlĀ
- Volume of Normal Saline: 50 ml
- Method of injection: Contrast Injector
- Flow Rate:
- Contrast: 5.0 ml/sec
- Normal Saline: 5.0 ml/sec
Post Contrast Scan Planning
Monitoring
- Single click on the pre-monitoring image
- Single click again to activate purple circle for triggering
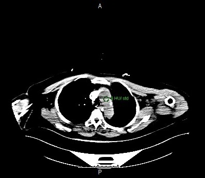
- Drag and drop the circle inside the aortic arch region
- Click TRIGGERING tab
- Set the Hounsfield Unit value to 80
Setting the ROI circle for triggering
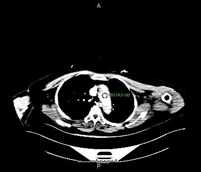
Contrast triggering start
Contrast HU reached the trigger value
Scanning Parameters
- kVp: 120
- mAs: 20
- Scanning Direction: Caudocranial
- Scan Delay: 2 s
- Slice: 10.0 mm
- Image Comment: –
- Pitch: –
Ā
Contrast (Carotid Angio)
Scanning Parameters
- kVp: 80
- mAs: Effective mAs
- Scanning Direction: Caudocranial
- Scan Delay: 2 s
- Slice: 4.0 mm
- Image Comment: –
- Pitch: –
- Gantry Angulation: ZERO (No Angulation)
Ā
Reconstruction of CTA Carotid
Multiplanar Reconstruction (MPR)
N/A
Siemens SyngoVia 3D Rendering
Series of Images Send to PACS
- Topogram
- CarotidAngio 5.0 B30f
- CarotidAngio 0.6 B26f
- Patient Protocol
- VRT Radial Ranges CTA Carotid